Treatments
大学教授・専門医の治療
当院のドクター以外にも教授陣を中心とした医療チームが適切な医学知識と経験に基づいた高度な医療品質を提供いたします。
各務 秀明Hideaki Kagami
- 日本口腔外科学会 専門医・指導医
- 日本口腔インプラント学会 専門医・指導医
- 日本顎顔面インプラント学会・指導医
- 日本再生医療学会・認定医
玄 景華Gen Keika
- 朝日大学 教授
- 歯科医師
歯学博士/言語聴覚士
社会福祉士/精神保健福祉士 - 日本障害者歯科学会 専門医・指導医
- 日本老年歯科学会 専門医・指導医
- 日本有病者歯科医療学会 専門医・指導医
- 日本口腔科学会 認定医・指導医
- 日本歯科麻酔学会 認定医
- 日本歯科心身医学会 認定医・指導医
- 日本摂食嚥下リハビリテーション学会 認定療法士
Maxillofacial&Oral
治療部位から探す
顎顔面の治療
-
顎関節
顎がカクン、顎が痛い、口がうまく開かないなどの顎関節症の症状を放置すると顎が開かなくなることがあります。
-
ほうれい線
ヒアルロン酸注射でほうれい線を改善しませんか?お口元をより上品に。
-
エラ輪郭
ボトックス注射(ボツリヌス菌注射)をエラの咬筋に行うことで筋肉の量を調整します。顎関節症などにも効果があります。
-
イビキ
イビキは死の病。大人も子どもも対象です。突然死や頭痛、体調不良、意識障害、発達障害を予防しましょう。
-
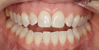
前歯が噛まない(開咬)
奥歯のみ噛み合っていると歯が砕けたり割れたりします。前歯で噛めるようにして見た目を美しく歯を守りましょう。
-
口元の突出
ロゴボなどとも呼ばれます。口元はその方の雰囲気を決めます。矯正治療や外科治療で治しましょう。
-
顎が横にずれている
正面から顔を見たとき曲がっているのが気になる、それは外科的矯正治療で治せます。
-
下顎の突出
横から見て顎が出ているのが気になる、しゃくれている、それは外科的矯正治療で治せます。
-
口唇
口唇のうるおいが足らない、形が気になる場合はヒアルロン酸注射やリップエステが効果的です。
-
口周りの肌
口元のシワや乾燥が気になる場合はヒアルロン酸やビタミンCなどの美容注射や美容点滴が選択肢です。
-
口臭
即効性のある薬剤と歯科治療、栄養改善を行うことで口臭を改善できます。
-
皮膚アレルギー
歯科金属の除去によってアレルギーが改善することがあります。皮膚科医、専門職との連携を図ります。
口腔内の治療
-
前歯
歯ならび、色、形、それぞれの方の望みの美しさを求めてカウンセリングを行い追求します。
-
銀歯
身体の中に金属があることに違和感を感じる人は少なくありません。金属に関する悩みはこちらです。
-
歯ならび
綺麗な歯ならびは一生の宝です。歯並びの悪い高齢者が少ないのは歯ならびが悪いと歯を失うリスクが高いからです。
-
歯肉・歯ぐき
歯肉が腫れている、出血がある、色がおかしい、膿が出る、歯肉が下がっている、歯根がみえているなどの悩みはこちら。
-
歯がない
歯が必要と感じた方はこちら。ブリッジ、入れ歯、インプラントなどの選択について解説いたします。
-
歯根・神経
神経の治療について問題を感じている方やなかなか治らない、抜歯と言われた、新しい治療を探している方はこちら。
-
ガミースマイル
笑うと歯茎が見えるということに悩む方は少なくありません。ボツリヌス菌注射により笑った時に上唇を上がりにくくします。
-
歯の色
歯の色は肌の色感、唇の艶感、表情の明るさなどに関わります。今や白い歯はマナーと言えるほど広く浸透した治療です。
理事長あいさつ
理事長/歯科医師 博士(歯学)
徳倉 圭
世界の医療に学び、地域の歯科医療に貢献する
世界中の人々の普遍的な願い それは、美味しく楽しく食事ができること。
歯科医療技術の進化に目を向け、日々の研鑽を怠らず、ひとりひとりの患者様の笑顔と食事のためにありつづけたいと思っております。
わたしたちの医院理念は、自立と支援です。患者様自らセルフケア習慣を一緒につくりあげ(自立)、プロフェッショナルケアによって維持していくことのお手伝いをする。(支援) わたしたち全員で、がんばります。
~PLVS VLTRA~
もっと向こうへ もっと先へ さらなる前進
FAQ
よくある質問
- 初めての受診には何が必要ですか?
- 健康保険証、障がい者手帳等、紹介状(お持ちの方)、お薬手帳(お持ちの方)をお持ちください。 ※保険証をお持ち頂かないと、保険の診療内容でも自費の扱いになりますのでご注意ください。 なお、初診料は3割負担の方で、2,000〜4,000円前後となります。目安として参考にしてください。
- 託児室はありますか?
-
はい、ございます。保育士が対応しておりますので、安心してお子様を預けて治療を受けることが可能です。
なお、対応できるお子様の人数に限りがございますので、公式LINEよりお問合せの上、ご来院いただけますと幸いです。よろしくお願いします。 - 他院でトラブルになった治療ですが、お願いできますか?
- はい、対応可能です。診査診断をさせていただき、治療計画のご提案をさせていただきます。法的対応をご検討の場合は、顧問弁護士をご紹介させていただくことも可能です。
- 保険診療のみで考えており、自費診療を考えていないのですが受診することは可能でしょうか。
- はい、問題ありません。私たちは患者様へ治療選択肢について説明する義務がございますので、治療選択肢のすべては一旦ご説明させていただきます。よろしくお願いします。
- 自費診療の支払い方法には、どんなものがありますか?
-
- 現金
- クレジットカード(VISA/MASTERCARD)
- デンタルローン(歯科専用)
- 障がいがあります。受診可能でしょうか?
-
私たちは、障がいがある方の受診に対して配慮ができるように努力しております。まずは公式LINEからご相談いただけると幸いです。以下の場合にはご対応が困難となります。
- 強く抑制や拘束を行わないと治療を受けることができない
- 他の患者様やスタッフに危害を及ぼす可能性がある
- 院内の物品や機材を破壊する可能性がある
- 保護者の方のご理解、ご協力を得ることができない
- キャンセルをよくしてしまうのですが、大丈夫でしょうか。
- 私たちの医院は、広域より多くの患者様が治療を求めて、来院されております。わたしたちとしては多くの方を、ご対応させていただきたいのですが、1日に対応できる患者様の枠は限られてしまいます。多くの方が、ご都合がありお忙しい中、ご自身の治療を優先されており、その意味でご自身の治療をキャンセルをされない方を優先してご対応させていただきたいとスタッフ一同願っております。何卒ご理解のほど、よろしくお願い申し上げます。
Clinic
クリニック案内
-
-
徳倉歯科口腔外科・矯正歯科
〒462-0004
愛知県名古屋市北区三軒町146(駐車場完備)- 城北線味美駅より徒歩7分
- 駐車場80台完備
- 土日も受診可能です!
-
-
春日井予防こども・おとな矯正歯科
〒486-0927
愛知県春日井市柏井町1丁目69 1F- 土日も受診可能です! ※隔週日曜、祝日休診

